รูทวาร

ชายเวียดนามถูกหามส่งหมอ หลังเอาปลาไหลออกจากรูก้นไม่ได้
ชายเวียดนาม วัย 31 ปีรายหนึ่ง ถูกนำส่งเข้ารับการรักษาฉุกเฉิน ที่โรงพยาบาลมหาวิทยาลัยเวียดดึ๊ก ในประเทศเวียดนาม หลังจากมีอาการปวดท้องอย่างรุนแรง โดยเหตุการณ์เกิดขึ้นภายหลังจากที่เขาได้สอดใส่ปลาไหลที่ยังมีชีวิต ความยาวประมาณ 65 เซนติเมตร เข้าไปทางรูทวารหนัก... ทีมแพทย์กล่าวว่า "ผู้ป่วยพยายาม ทำให้ปลาไหลเลื้อยออกมาโดยใช้มะนาว แต่กลับทำให้ปลาไหลติดค้างอยู่ภายในลำไส้ตรง เมื่อปลามันไม่สามารถหลบหนีได้ ป.. ดูเพิ่ม

แพทย์อึ้ง!! หลังเอ็กซเรย์คนไข้ ดันพบถ้วยกาแฟในรูก้น
ชายคนหนึ่งในประเทศไต้หวัน ได้เดินทางไปพบแพทย์ หลังจากที่เขามีอาการท้องอึด ติดต่อกัน 3 วันแล้ว อีกทั้งยังทำให้เขาไม่สามารถถ่ายอุจจาระได้ ส่งผลทำให้เขาเกิดความเจ็บปวดอย่างรุนแรง... ซึ่งแพทย์ได้ทำการเอ็กซเรย์พบว่า "มีถ้วยเซรามิกขนาดสูง 8 ซม. และ กว้าง 6 ซม. อยู่ภายในรูทวารหนักของเขา" ถึงแม้ว่าทีมแพทย์ จะพยายามนำถ้วยออกทางช่องทวารหนัก โดยการใช้เครื่องมือหลายชนิด รวมถึงกล้องส่องเพื่อส่องผ่านผนังช่องท้.. ดูเพิ่ม

หนุ่มไต้หวั่นร้องหาหมอช่วย หลังลูกมะพร้าวติดในช่องทวาร!
ไต้หวัน 🇹🇼 : 🥥 ชายเมือง เกาสง ลูกมะพร้าวติดในช่องทวาร 🥥โรงพยาบาลแห่งหนึ่งในเมืองเกาสง รับผู้ป่วยชาย ชายวัย 56 ปี เข้าห้องฉุกเฉิน อาการปัสสาวะลำบาก ท้องผูกรุนแรง ปวดท้องมา 2 วันแล้ว ผลตรวจ CT scan พบว่า กระเพาะปัสสาวะบวมเหมือน ลูกฟุตบอล สิ่งที่อุดตัน อยู่ในนั้นคือ ลูกมะพร้าว ขนาดยาว 7.5 ซม. กว้าง 5.7 ซม. ปิดกั้นท่อปัสสาวะ แพทย์พยายามใช้มือเอาออก ไม่สามารถเอาออกมาได้ กระเพาะปัสสาวะขยายตัวเกือบ 2,00.. ดูเพิ่ม

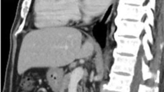
ชายบราซิลเล่นใหญ่!! ดัมเบลหนัก 2 กก.ติดอยู่ในทวารมาสองวัน เดือดร้อนหมอดึงออกให้😅
เล่นใหญ่ เอาไม่ออก ! เดือดร้อนหมอดึงออกให้ 🤣 ชายอายุ 54 ในบราซิลเข้ารักษาตัวในโรงพยาบาลหลังมีอาการปวดท้องถ่ายไม่ออกเพราะมีดัมเบลหนัก 2 กก.ยาว 20 ซม.อยู่ในทวาร จริงๆ มันติดอยู่ในนั้นมาสองวันแล้วเจ้าตัวพยายามเอาออกเองแต่ไม่สำเร็จ หมอต้องใช้มือล้วงเข้าไปเกือบสุดแขนเพื่อดึงมันออกมา มีหลายคนถามว่าทำเพื่ออะไร มันคือรสนิยมทางเพศค่ะเพราะในทวารหนักมันมีเส้นประสาทที่ไวต่อความรู้สึก กระตุ้นให้เกิดอารมณ์ทางเ.. ดูเพิ่ม

เทรนด์ใหม่... สักรูทวาร
เห็นข่าวแล้วตกใจ ทำไมมีเทรนด์อะไรใหม่ๆ แปลกๆแบบนี้ ...สักรูทวาร จากเพจ อีซ้อขยี้ข่าว และทำให้หมอกอล์ฟ ต้องไปอธิบายใน ทุบโต๊ะข่าว เข้าใจว่าการสัก เป็นศิลปะบนเรือนร่าง ที่เอาไว้ให้ตัวเองและคนอื่นชื่นชม ส่วนใหญ่มักจะสักที่ แขน ขา ตัว ใบหน้า(พอมี) แต่ที่แปลกคือ มาสักที่รูทวาร แล้วใครจะดู และที่สำคัญ คนสัก ก็ยอมไปสักให้เค้าด้วย การสักในบริเวณที่ผิวบาง เสี่ยงต่อการติดเชื้อมาก ยิ่งทวารหนักมันคือที่ขับถ่.. ดูเพิ่ม

ญี่ปุ่นทำการทดลอง ให้หมูหายใจทางรูก้น!!
ทีมนักวิจัยญี่ปุ่นพบว่า "การนำออกซิเจนเข้าสู่กระแสเลือด ผ่านรูทวารหนัก สามารถช่วยชีวิตสัตว์บางชนิดได้ เช่น หมูและหนูทดลอง โดยพวกมันมีโครงสร้างร่างกาย คล้ายคลึงกับมนุษย์" วิธีการดังกล่าวเรียกว่า "การหายใจทางรูก้น" วิธีนี้ถูกนำมาพิจารณา ให้เป็นทางเลือกอีกทางหนึ่ง ในการช่วยชีวิตผู้มีภาวะขาดออกซิเจน แต่ไม่สามารถใช้เครื่องช่วยหายใจ หรือ เครื่องปอดเทียมในการรักษาได้ เนื่องจากคนผู้นั้นตกอยู่ในสถานการณ์ .. ดูเพิ่ม