ปอด


เช็กสุขภาพปอดเบื้องต้นด้วยการ "กลั้นหายใจ" ว่าปอดยังปกติดีจะได้ผลหรือไม่ ? และ มีวิธีสังเกตสัญญาณเตือนจากปอดอย่างอื่นหรือไม่
วิธีเช็กสุขภาพปอดเบื้องต้นง่ายๆ ด้วยการ “กลั้นหายใจ” 1.สูดลมหายใจเข้าลึกๆ ให้เต็มปอด 2.กลั้นหายใจให้นานที่สุดเท่าที่ทำได้ 3.สังเกตเวลาที่กลั้นหายใจได้ ‘ถ้ากลั้นหายใจได้เกิน 30 วินาที แสดงว่า ปอดของคุณยังมีสมรรถภาพที่ดี’ ‘ถ้ากลั้นได้เพียง 10–15 วินาที แล้วรู้สึกอึดอัด หอบ หรือแน่นหน้าอก อาจเป็นสัญญาณเตือนว่า ปอดคุณไม่แข็งแรงเท่าที่ควร’ วิธีนี้เป็นเพียงการท.. ดูเพิ่ม

วิธีดูแลปอดแบบง่าย ๆ และ 6 ท่าวิธีบริหารปอด เสริมภูมิคุ้มกันให้แข็งแรง
วิธีดูแลปอดแบบง่าย ๆ เสริมภูมิคุ้มกันให้แข็งแรง 1.ออกกำลังกายบริหารปอด การออกกำลังกายแบบ ‘คาร์ดิโอ’ (Cardio Exercise) เพื่อเพิ่มอัตราการเต้นของหัวใจ เนื่องจากเมื่อหัวใจสูบฉีดเลือดก็จะทำให้ปอดแข็งแรงมากขึ้นตามไปด้วย และ สามารถนำออกซิเจนไปเลี้ยงส่วนต่าง ๆ ของร่างกายได้อย่างมีประสิทธิภาพ ส่งผลให้การหายใจดีขึ้น โดยการออกกำลังกายเสริมสุขภาพปอดให้แข็งแรง ควรเคลื่อนไหวขยับร่างกายอย่างน้อยวัน.. ดูเพิ่ม

ความลับของปอดมนุษย์ อวัยวะสุดมหัศจรรย์ที่คุณอาจไม่เคยรู้
ปอดคืออวัยวะรูปถุงที่ซ่อนตัวอยู่ใต้กรงซี่โครงและเหนือกระบังลม ถือเป็นหัวใจสำคัญของระบบหายใจและระบบกำจัดของเสียในร่างกาย ที่หลายคนอาจไม่รู้คือปอดของเราทำงานหนักตลอด 24 ชั่วโมงโดยไม่เคยหยุดพักแม้แต่วินาทีเดียว! รู้หรือไม่? ปอดทั้งสองข้างของเรามีขนาดไม่เท่ากันอย่างน่าประหลาด! ปอดขวาจะกว้างแต่สั้นกว่าเพราะต้องเผื่อที่ให้ตับที่อยู่ด้านล่าง ส่วนปอดซ้ายที่แคบกว่าก็เพราะต้องแบ่งพื้นที่ให้หัวใจนั่นเอง ควา.. ดูเพิ่ม

ทำความรู้จักกับปอด: อวัยวะสำคัญที่ทำงานเหมือนต้นไม้กลับหัว
เรียบเรียงโดย: Boss Panuwat ปอดคืออะไร? ปอดเป็นอวัยวะคู่ที่มีลักษณะคล้ายฟองน้ำขนาดใหญ่ ตั้งอยู่ในโพรงอก ปอดด้านซ้ายมีขนาดเล็กกว่าปอดด้านขวาเล็กน้อย เพื่อให้มีพื้นที่สำหรับหัวใจที่อยู่บริเวณกลางอก ปอดเป็นส่วนหนึ่งของระบบทางเดินหายใจที่มีหน้าที่หลักคือการนำออกซิเจนเข้าสู่ร่างกายและขจัดก๊าซคาร์บอนไดออกไซด์ออกไป กระบวนการนี้มีความสำคัญต่อการรักษาสมดุลของระบบร่างกายทั้งหมด กระบวนการทำงานของปอด เมื่อคุ.. ดูเพิ่ม

สมุนไพรบำรุงปอด ตัวช่วยรักษาฟื้นฟูปอด พืชพันธุ์พื้นบ้านใกล้ตัว
1.ขมิ้นชัน มีงานวิจัย พบว่า อาจมีสรรพคุณช่วยชะลอความเสื่อมของปอดทั้งในคนทั่วไปและผู้ที่สูบบุหรี่ และยังอาจสามารถช่วยให้ผู้ที่เป็นโรคหอบหืดเรื้อรังมีการทำงานของปอดที่ดีขึ้น สาร Curcumin ในขมิ้นชันยังอาจมีสรรพคุณช่วยลดการอักเสบ เสริมสร้างภูมิคุ้มกัน และต้านไวรัสโควิด-19 ได้ด้วยเช่นกัน แต่งานวิจัยที่บ่งชี้ถึงสรรพคุณเหล่านี้ก็ยังเป็นเพียงการศึกษาในระดับเบื้องต้นเท่านั้น จึงยังจำเป็นต้องอาศัยงานวิจัยเ.. ดูเพิ่ม

หญิงวัย 70 ปี หายใจลำบาก หลังทำรากฟันเทียม
สื่อนอกรายงานว่า "หญิงสเปนวัย 70 ปี รายหนึ่ง ได้ไปตรวจร่างกายที่โรงพยาบาล เนื่องจากมีอาการหายใจลำบาก และ ติดเชื้อในระบบทางเดินหายใจบ่อยครั้ง ซึ่งผลที่ได้ทำให้แพทย์รู้สึกประหลาดใจ เพราะมีสกรูยาว 9 มม. อยู่ในปอดของเธอ..." แพทย์กล่าวว่า "จากประวัติการรักษาในอดีตของเธอ เราพบว่าเธอน่าจะเผลอ สูดสกรูเข้าไปอย่างไม่ได้ตั้งใจ ระหว่างใส่รากฟันเทียม เมื่อประมาณ 8 เดือนที่แล้ว ในคลินิกทันตกรรม ซึ่งเป็นตอนที่เ.. ดูเพิ่ม

"หมอธีระ" เตือน "กัญชาไฟฟ้า" ที่ขายว่อนในโซเชียล ระวังเสี่ยงปอดพัง-อักเสบขั้นรุนแรง
รศ.นพ.ธีระ วรธนารัตน์ คณะแพทยศาสตร์ จุฬาฯ โพสต์เตือน กรณีที่ ‘กัญชาไฟฟ้า’ กำลังฮิตในวัยรุ่น โดยระบุว่า…“การสูบกัญชาไฟฟ้าอาจเสี่ยงต่อภาวะปอดพัง” - ปี 2019-2020 ที่สหรัฐฯ มีผู้ป่วยจำนวนมากเกิดภาวะปอดอักเสบรุนแรง พบว่า “เกิดจากการสูบน้ำมันกัญชาโดยเครื่องสูบไฟฟ้า”- US CDC เผยว่า จนถึง เดือน ก.พ. 2020 พบว่า การสูบน้ำมันกัญชาโดยเครื่องสูบไฟฟ้า ทำให้มีผู้ป่วยสู.. ดูเพิ่ม

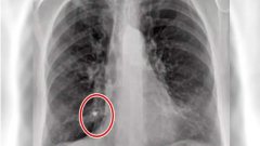
หมอโชว์ฟิล์มปอด ของผู้ป่วยโควิดวัย 80
เมื่อวันที่ 28 ก.ค. 2564 นายแพทย์ "โยธิน วิเชษฐวิชัย" แพทย์ชำนาญการด้านจิตเวช โรงพยาบาลสมิติเวช ได้โพสต์ภาพฟิล์มเอกซ์เรย์ปอด ของคนไข้โควิด วัย 80 ปี พร้อมระบุข้อความว่า ดูเพิ่ม

ดูแลปอดอย่างไรให้ห่างไกลโค-วิด
ปอด เป็นอวัยวะที่สำคัญต่อการหายใจของคนเรา อยู่ภายในทรวงอก ทั้ง 2 ข้าง ที่ช่วยให้เราหายใจ เป็นแหล่งกำเนิดพลังงานชั้นยอดของร่างกาย และยังมีบทบาทต่อการเสริมภูมิคุ้มกันของร่างกาย การหายใจเป็นหน้าที่หลักของปอด โดยปอดจะทำหน้าที่แลกเปลี่ยนก๊าซออกซิเจนที่เราสูดลมหายใจเข้าไป เอาก๊าซคาร์บอนไดออกไซด์ออกมา ทำหน้าที่กรองอากาศ (ออกซิเจน) เข้าสู่ร่างกายเมื่อเราหายใจเข้าแล้วปล่อยก๊าซคาร์บอนไดออกไซด์ออกด้วยการหายใ.. ดูเพิ่ม

ลิ้นมังกร..กินได้ด้วย
ต้นลิ้นมังกร..กินได้ด้วย หลังใบของลิ้นมังกร ดอกของลิ้นมังกร ชื่อที่เรียก -ลิ้นมังกร ชื่ออื่นๆ -ผักลิ้นห่าน หนุ่นดิน มะยมใบพาย อะจีเจ้า นอช่วยไน้ ลีเดาะห์ นาฆอ(Lidahnaga) เล่งจินเช่า เลิงจิเฉ่า หลงซื่อเยียะ -เหล่งหลี่เฮียะ เหล่งจิเฮี๊ยะ(จีน-แต้จิ๋ว) -หลงลี่เยียะ(จีนกลาง) หมายเหตุ นอกจากนี้ยังมีลิ้นมังกรอีกชนิด ที่มีชื่อวิทยาศาสตร์ว่า Sauropus rostratus Miq.(เข้าใจว่ามาจากประเทศจีน) ตามตำราสมุนไพร ร.. ดูเพิ่ม

ผู้ป่วยโรคโควิดในญี่ปุ่น ได้รับการปลูกถ่ายปอด จากผู้บริจาคที่มีชีวิต
"โรงพยาบาลมหาวิทยาลัยแพทย์เกียวโต" กล่าวว่า "ได้ดำเนินการปลูกถ่ายปอด จากผู้บริจาคที่มีชีวิต เพื่อรักษาปอดที่เสียหายอย่างหนัก จากไวรัสโคโรนาสายพันธุ์ใหม่ เป็นครั้งแรกของโลก!!" ศาสตราจารย์ "ดาเตะ ฮิโรชิ" ผู้อำนวยการแผนกศัลยกรรมทรวงอก ได้แถลงข่าวร่วมกับเจ้าหน้าที่คนอื่นๆ ในวันพฤหัสบดีที่ผ่านมา... ทางโรงพยาบาลกล่าวว่า "ผู้หญิงคนหนึ่งซึ่งอาศัยอยู่ในภูมิภาคคันไซ ได้เข้ารับการผ่าตัดนานเกือบ 11 ชั่วโมง เ.. ดูเพิ่ม

10 อาหารที่ดีที่สุด สำหรับสุขภาพปอด
10 อาหารที่ดีที่สุด สำหรับสุขภาพปอด การดูแลปอดให้แข็งแรง เป็นสิ่งสำคัญที่จะทำให้คุณรู้สึกดีที่สุด อย่างไรก็ตามปัจจัยทั่วไปรวมถึงการสัมผัสกับควันบุหรี่ และสารพิษจากสิ่งแวดล้อม ตลอดจนการรับประทานอาหาร ที่ทำให้เกิดการอักเสบอาจ ส่งผลเสียต่ออวัยวะสำคัญคู่นี้ ยิ่งไปกว่านั้นเงื่อนไขที่พบบ่อย เช่น โรคหอบหืด โรคปอดอุดกั้นเรื้อรัง (COPD) และ โรคพังผืดในปอด อาจส่งผลต่อคุณภาพชีวิตของคุณอย่างมีนัยสำคัญ... อย่า.. ดูเพิ่ม

6 อาหารที่ช่วยบำรุงปอด
6 อาหารที่ช่วยบำรุงปอด 1. แอปเปิ้ล : มีวิตามิน C และ มีเส้นใยสูง มีเบต้าแคโรทีน หรืออนุมูลอิสระ ที่มีชื่อว่าเคอร์ซิทีน ช่วยลดความเสี่ยงโรคมะเร็งปอด รวมถึงวิตามินและแร่ธาตุในแอปเปิล ยังจะช่วยดูแลสุขภาพปอดอีกด้วย 2. แครอท : มีเบต้าแคโรทีนสูง และ มีปริมาณวิตามิน A สูงมาก ซึ่งช่วยป้องกันอาการหอบหืด และช่วยกระตุ้นระบบภูมิคุ้มกัน ให้มีความแข็งแรงมากขึ้น 3.ขิง : ขิงเป็นสมุนไพรที่ดีต่อระบบทางเดินหายใจ โดย.. ดูเพิ่ม

วิธีบำรุงปอดง่ายๆ ให้ห่างไกลโรค Covid19
วิธีบำรุงปอดง่ายๆ ให้ห่างไกลโรค Covid19 เชื้อไวรัสโควิด19 จะเข้าไปทำลายปอด จนทำให้ปอดอักเสบขั้นรุนแรง รวมถึงเกิดภาวะแทรกซ้อนในผู้ป่วยบางราย ระดับความรุนแรงของผู้ป่วย ที่รับเชื้อไวรัสก็มีระดับต่างกัน ขึ้นอยู่กับสภาพความแข็งแรง และ ภูมิต้านทานของแต่ละบุคคล ดังนั้นเราจึงควรที่จะหันมา ดูแลและบำรุงปอดของเราเอง 1.การสูดหายใจเข้าลึกๆ การสูดหายใจเข้าออกลึกๆ เป็นสิ่งที่ทุกคนควรทำทุกวัน แต่ในบางครั้งเราอาจล.. ดูเพิ่ม

เหตุการณ์ที่เกิดขึ้นได้ยาก! หนุ่มมะกัน ไอรุนแรงจนก้อนเลือดคล้ายหลอดลมหลุดออกมา
หนุ่มชาวมะกันวัย 36 ปี คนหนึ่งเข้ารพ.เพื่อรักษาอาการหัวใจล้มเหลวที่ศูนย์การแพทย์มหาวิทยาลัยแคลิฟอร์เนีย ซานฟรานซิสโก แต่ระหว่างนั้นได้เกิดเหตุการณ์ที่ยากจะเกิดขึ้น เมื่อชายคนนี้มีอาการไอรุนแรงขึ้นเรื่อยๆ เขาไออย่างหนักและรุนแรงจนมีชิ้นเนื้อหรือก้อนเลือดบางอย่างหลุดออกมาด้วย มีลักษณะเหมือนกิ่งก้านคล้ายกับต้นไม้ขนาดจิ๋ว ตามรายงานระบุว่า สิ่งที่หลุดออกมานั้น เป็นก้อนเลือดที่แข็งตัวคล้ายหลอดลมที่อยู่.. ดูเพิ่ม



