ดัดฟัน


จัดฟันอย่างไรให้ไม่เสียใจทีหลัง? ความลับที่คุณอาจไม่เคยรู้มาก่อน!
การจัดฟันเป็นหนึ่งในกระแสความงามที่ได้รับความนิยมอย่างมากในยุคปัจจุบัน โดยเฉพาะในกลุ่มวัยรุ่นและวัยทำงานที่อยากมีรอยยิ้มสวยงามและเสน่ห์ที่เพิ่มขึ้น แต่เบื้องหลังรอยยิ้มที่สวยงามนั้นมีเรื่องราวที่คุณอาจไม่เคยได้ยินมาก่อน ทั้งในแง่ของความเสี่ยง ค่าใช้จ่ายที่แฝง และผลกระทบระยะยาวที่อาจเกิดขึ้น หากคุณกำลังคิดจะจัดฟันหรือกำลังอยู่ในกระบวนการนี้ บทความนี้จะเปิดเผยความลับที่หมอฟันอาจไม่ได้บอกคุณอย่างชัด.. ดูเพิ่ม

ล้างคราบหินปูนบนรีเทนเนอร์
ใครที่จัดฟันแล้วถึงเวลาที่เราต้องใส่รีเทนเนอร์ นอกจากปัญหาที่รีเทนเนอร์หายเป็นประจำ ก็มีปัญหาในเรื่องของความสะอาดของรีเทนเนอร์ที่ทำให้เรารู้สึกไม่สะอาด หรืออายหากใครมาเห็นความสกปรกบนรีเทนเนอร์ของเรา โดยเฉพาะ "คราบหินปูน" ปัญหานี้แก้ยากมาก เพราะคราบหินปูนไม่สามารถนำแปรงสีฟันมาขัดให้ออกได้ และคราบหินปูนยังทำให้มีกลิ่นปากอีกด้วย จึงขอเสนอวิธีง่าย ๆ จากอุปกรณ์ในครัวที่บ้านของเราเพื่อกำจัดคราบหินปูนเจ.. ดูเพิ่ม

จัดฟันร่วมกับการผ่าตัดขากรรไกร (มีรูป)
จัดฟันร่วมกับการผ่าตัดขากรรไกร (มีรูป) จุดประสงค์ของการจัดฟันร่วมกับการผ่าตัดขากรรไกร เพิ่มประสิทธิภาพของการสบฟัน การสบฟันที่ดีจะทำให้สามารถบดเคี้ยวอาหารได้ดี แก้ไขความผิดปกติของการหายใจ (Mouth Breather) เพิ่มความสวยงาม เพิ่มประสิทธิภาพในการพูดออกเสียง ลดระยะเวลาที่ใช้ในการรักษา (Treatment Time) ให้เป็นที่ยอมรับได้ เพิ่มเสถียรภาพของการสบฟันหลังการรักษา ( Post-Treatment Stability) ลดความเสี่ยงที่จะ.. ดูเพิ่ม

รวมโมเม้นท์สุดเซ็ง ที่คนจัดฟันเท่านั้นถึงจะเข้าใจ
รวมโมเม้นท์สุดเซ็ง ที่คนจัดฟันเท่านั้นถึงจะเข้าใจ คำนิยามยอดฮิตอย่าง “เพื่อความสวย หรือความหล่อต้องอดทน” คงจะใช้ได้จริงกับคนที่ต้องดัดฟัน เพราะถือเป็นการรักษาทางการแพทย์ อย่างหนึ่ง ทั้งยังต้องเจ็บจากการดัดฟัน การดูแลรักษาความสะอาด และโมเม้นท์สุดจี๊ดที่ตรึงใจ วันนี้เราเลยนำ 19 โมเม้นท์ที่คนจัดฟันเท่านั้นที่เข้าใจมาให้ได้ดูกัน จะโดนใจขนาดไหนมาชมกันเลย.... ดูเพิ่ม

การจัดฟัน ไม่สามารถเปลี่ยนผีให้เป็นคนได้ #จัดฟัน
การจัดฟัน ไม่สามารถเปลี่ยนผีให้เป็นคนได้ จัดฟัน เป็นการรักษาความผิดปกติของร่างกาย ไม่ใช่การทำศัลยกรรมเสริมสวย ทำหน้า ทำเล็บ เรื่องความสวยงามเป็นแค่ผลพลอยได้เท่านั้น จึงไม่ได้แปลว่า จัดฟันแล้วจะต้องสวยกันทุกคน คนที่คาดหวัง เรื่องความสวยงามมากจนเกินจริง อาจรู้สึกผิดหวัง บางคนบอก ถ้าย้อนเวลากลับไปได้จะไม่จัดฟัน เพราะจัดแล้วไม่ได้อย่างที่หวัง หน้าไม่เปลี่ยน หน้าไม่เรียว และยังต้องใส่รีเทนเนอร์เป็นของ.. ดูเพิ่ม

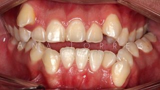
เช็คกันหน่อยคุณ สบฟันปกติ ไหม?
สบฟันปกติ ไหม? เช็คกันหน่อยคุณ สบฟันปกติ ไหม? สบฟันปกติ เป็นอย่างไร? ฟันเรียงตัวเป็นระเบียบในแต่ละขากรรไกร ฟันบนคร่อมฟันล่างโดยรอบ ฟันหน้าบน ห่าง ฟันหน้าล่าง ประมาณ 1 มิล ฟันหน้าบน ลึก ฟันหน้าล่าง ประมาณ 1 - 2 มิล ดูคลิปสบฟันปกติได้ที่นี่ ดูเพิ่ม

เช็คด่วน! 9 อาการบอกว่าคุณอาจต้องจัดฟันร่วมกับผ่าตัดขากรรไกร
9 อาการบอกว่าคุณอาจต้อง จัดฟันร่วมกับผ่าตัดขากรรไกร 1.สบฟันผิดปกติ เพราะขากรรไกรบน/ล่าง มีขนาดที่ไม่สมส่วน 2.หน้าเบี้ยวผิดรูป จากลักษณะกระดูกขากรรไกรที่ผิดปกตินั่นเอง 3.ฟันเรียงตัวผิดปกติมาก จากปัญหารูปทรงขากรรไกร ซึ่งจะส่งผลให้ในช่องปากเกิดปัญหาซ้ำซาก 4.ไม่สามารถแก้ปัญหาช่องปากได้ด้วยการจัดฟันแบบธรรมดา 5.หุบปากไม่ลง เพราะขากรรไกรบนยื่นมาก 6.คางยื่นมาก ตามกระดูกขากรรไกรล่างที่ยาวเกิน 7.คางห.. ดูเพิ่ม

ต้องใส่รีเทนเนอร์ ก่อนจัดฟันไหม
ต้องใส่รีเทนเนอร์ ก่อนจัดฟันไหม รีเทนเนอร์ มาทำความรู้จักก่อนว่า รีเทนเนอร์ คืออะไร และมีหน้าที่อะไร? รีเทนเนอร์ คือเครื่องมือคงสภาพฟัน หลังถอดเครื่องมือจัดฟันแล้ว โดยมีวัตถุประสงค์ เพื่อป้องกันไม่ให้ฟันที่จัดไว้เคลื่อนกลับคืนตำแหน่งเดิม อ้าว! จัดฟันเสร็จแล้ว ฟันยังจะเคลื่อนกลับได้อีกหรอ? หลังจัดฟันเสร็จ จำเป็นต้องให้เวลาฟัน และอวัยวะรอบๆ ฟันซักระยะ เนื่องจากสภาพกระดูกและเหงือกหุ้มฟัน ต้องใช้เวลาใ.. ดูเพิ่ม

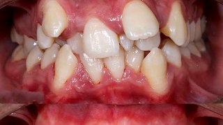
ฟันซ้อน ฟันเก ขั้นรุนแรง!!
ฟันซ้อน ฟันเก ขั้นรุนแรง!! ทำไมฟันซ้อนเกขนาดนี้ฟันเก ฟันซ้อน มีปัจจัยทั้งจากพันธุกรรม และพฤติกรรม 1.พันธุกรรม ทำให้ขนาดฟันและขากรรไกรไม่สัมพันธ์กัน เช่นมีฟันซีใหญ่ แต่ตั้งอยู่บนขากรรไกรขนาดเล็ก เรื่องของกราม ที่ใคร กรามใหญ่-กรามเล็กถ้าใครกรามเล็กจะมีโอกาสเกิดฟันเก ฟันซ้อน เยอะกว่าคนกรามใหญ่ 2.พฤติกรรม การเคี้ยวอาหารตั้งแต่เล็กๆ ถ้าเราเคี้ยวอาหารละเอียด ใช้งานกรามเยอะตั้งแต่เด็กๆ กรามมันก็ขยายเ.. ดูเพิ่ม

เล่าประสบการณ์จัดฟัน ฟันล่างครอบฟันบนผ่าน Live Facebook | Facebook Live Ep.1 | WaanSannie
หวานเป็นคนฟันล่างครอบฟันบน ใครที่เป็นเหมือนกับหวานลองฟังดูนะคะใครที่อยากดูหวาน Live สดๆ แชร์ประสบการณ์ต่างๆแบบสดๆอย่าลืมไปกด Like และกดดาวติดตามเพจ https://www.facebook.com/waansannie/ นะคะขออภับ Live นี้ทำเป็นแนวตั้ง คลิปหน้าจะเป็นแนวนอนนะหวานจะเอา Live ใน Facebook มาลงYoutube ทุกวันจันทร์นะคะ ★ เลื่อนอ่านตรงแสดงเพิ่มเติมด้วยนะคะ ด้านล่างนี้ ★-----------------------------------------------------.. ดูเพิ่ม

จัดฟันแบบเลข 8 (Figure 8) ฟันเคลื่อนไวกว่า
จัดฟันแบบเลข 8 (Figure 8) ฟันเคลื่อนไวกว่า การมัดยางจัดฟัน มีทั้งมัดแบบคล้องอย่างที่เห็นกันทั่วไป และยังมีการมัดยางจัดฟันแบบไขว้ หรือ จัดฟันแบบเลข 8 (Figure 8) เพื่อกำหนดระดับความฝืด ระหว่างแบร็กเก็ตกับลวดจัดฟัน โดย จัดฟันแบบเลข 8 (Figure 8) ฟันเคลื่อนไวกว่า เพราะการมัดยางแบบนี้จะช่วยลดแรงเสียดทาน จึงช่วยดึงฟันได้เร็วขึ้น อย่างไรก็ตาม คนไข้ไม่สามารถเลือกวิธีมัดยางแบบไขว้หรือแบบอื่นๆ ได้ตามใจ ต้องข.. ดูเพิ่ม

ชีวิตคนจัดฟันนี่ลำบากนะครับ คนจัดฟันเท่านั้นที่เข้าใจ
จัดฟัน เหมือนกันถึงจะเข้าใจ! กดคลิปนี้ ----> บอกเลยว่ายุคนี้ไม่ว่าหนุ่มสาวทั้งหลายต่างก็เคยผ่านการจัดฟันมาแล้วทั้งนั้น ซึ่งแต่ละคนก็มีเหตุผลที่แตกต่างกันออกไป แต่ส่วนใหญ่แล้วการจัดฟันนั้นจะเน้นไปในเรื่องของการแก้ปัญหาเรื่องสุขภาพฟันที่ผิดปกติมากกว่า และวันนี้ก็มีเรื่องราวที่เหล่าคนจัดฟันทั้งหลายน่าจะเคยประสบพบเจอ และแน่นอนว่ามันตรงสุดๆ มาให้เพื่อนๆ ได้หวนคิดถึงมันอีกรอบหนึ่ง ความรู้สึก ณ ตอนนั้.. ดูเพิ่ม

คุณ สบฟัน แบบไหน?
ฟันของคุณ สบกันแบบไหน? ต่อไปนี้คือตัวอย่าง การสบฟันที่ผิดปกติ (Malocclusions) ที่ควรได้รับการรักษาด้วยการจัดฟัน 1.ฟันเก Cronding 2.ฟันห่าง Spacing 3. ฟันสบลึก Deep bite 4. ฟันสบเปิด Open bite 5. ฟันสบไขว้ crossbite 6. ฟันหน้ากัดชนกัน Edge to Edge bite 7. ฟันยื่น ฟันเหยิน Excessive overjet ดูเพิ่ม

จัดฟันร่วมกับการผ่าตัดขากรรไกร (มีรูป)
จัดฟันร่วมกับการผ่าตัดขากรรไกร การรักษาทางทันตกรรมจัดฟัน คือการจัดระเบียบฟันให้อยู่ในแนวที่ถูกต้องในขากรรไกร การรักษานี้มีขอบเขตจำกัด ได้ผลดีในกลุ่มของคนไข้ที่มีความผิดปกติที่เกี่ยวกับฟัน (Dental Malocclusion) และมีความรุนแรงไม่มากนัก หลายรายที่มีการสบฟันผิดปกติในระดับปานกลาง ทันตแพทย์จัดฟันสามารถให้การรักษาโดยการเคลื่อนฟันบน และฟันล่าง ให้มาพบกัน (Compensatory tooth movement) ในบางรายก็อาจใช้การ.. ดูเพิ่ม

เช็คด่วน! 9 อาการบอกว่าคุณอาจต้องจัดฟันร่วมกับผ่าตัดขากรรไกร
9 อาการบอกว่าคุณอาจต้อง จัดฟันร่วมกับผ่าตัดขากรรไกร 1.สบฟันผิดปกติ เพราะขากรรไกรบน/ล่าง มีขนาดที่ไม่สมส่วน 2.หน้าเบี้ยวผิดรูป จากลักษณะกระดูกขากรรไกรที่ผิดปกตินั่นเอง 3.ฟันเรียงตัวผิดปกติมาก จากปัญหารูปทรงขากรรไกร ซึ่งจะส่งผลให้ในช่องปากเกิดปัญหาซ้ำซาก 4.ไม่สามารถแก้ปัญหาช่องปากได้ด้วยการจัดฟันแบบธรรมดา 5.หุบปากไม่ลง เพราะขากรรไกรบนยื่นมาก 6.คางยื่นมาก ตามกระดูกขากรรไกรล่างที่ยาวเกิน 7.คาง.. ดูเพิ่ม

จัดฟันแฟชั่น รีท่อสี รีสติ้ก
จัดฟันแฟชั่น รีท่อสี รีสติ้ก BKเชน+โอริง รีแบล็คเก็ต รีไร้เหงือก ดัชนีความโง่เขลาของประชากรในประเทศ วัดจากจำนวนร้านขายยาลดความอ้วน ครีมโรงงาน กลูต้า และรับจัดฟันแฟชั่น จัดฟันแฟชั่น กับ 7 ผลร้าย เหงือกอักเสบเป็นแผล มีเลือดไหล เกิดแผลในช่องปาก เนื่องจากลวดและพลาสติกอาจกดเหงือกหรือทิ่มเหงือก หรือถ้าลวดยาวและไม่พอดี ทำให้แทงเหงือกได้ สารอันตรายดูดซึมเข้าสู่ร่างกาย เนื่องจากการใช้เครื่องมือที่ไม่ได้.. ดูเพิ่ม

แข่วซวก [ แข่ว - ซวก ] หมายถึง ฟันเหยิน
แข่วบักออย ปานบักจก ทรงคือสิสวบหน้าเฮาได้อยู่แปลว่าไอ้ออย ฟันมันเหยินเกือบจะทิ่มหน้าเราได้แล้ว ฟันเหยิน ฟันยื่น เกิดจากอะไร? ฟันเหยิน ฟันยื่น สาเหตุของฟันเหยิน ฟันยื่น 1. กรรมพันธุ์ 2. พฤติกรรมดูดนิ้ว ตามปกติแล้วการที่เด็กมีนิสัยดูดนิ้วจะหายไปได้เองแต่ถ้ายังคงมีนิสัยนี้จนถึงช่วงฟันแท้ก็จะทำให้ฟันหน้ายื่นได้ ดูดนิ้วจนฟันยื่น 3. ขากรรไกรบนยื่น ขากรรไกรล่างเล็ก การรักษาฟันเหยิน ฟันยื่น ขึ้นอย.. ดูเพิ่ม

สูญเสียกันไปเท่าไหร่กับคำว่าเหล็กหลุด😭🖕🏻#ปัญหาจัดฟัน #ดัดฟัน #จัดฟัน #ปุ่มละ300 #500
สูญเสียกันไปเท่าไหร่กับคำว่าเหล็กหลุด😭😭 🖕🏻#ปัญหาจัดฟัน #ดัดฟัน #จัดฟัน #ปุ่มละ300 #500 เหล็กจัดฟันหลุดได้จาก 2 กรณีครับ1.หมอติดไม่ดี อันนี้จะเกี่ยวยางไม่ได้เลย มันจะหลุดทันที. ถ้ากรณีนี้หมอจะติดใหม่ให้ฟรีนะครับ2.แรงกระแทก โดนเหล็กจัดฟันหลุด ที่มาของแรงกระแทกมีมากมาย คนไข้อาจจะรู้ตัวหรือไม่ก็ได้ (ส่วนใหญ่มักไม่ค่อยรู้)😱 แปรงสีฟันกระแทกโดน. เกิดจากแปรงผิดวิธีและแรงเกินไป. โดยเสียดสีอย่างรุนแรง พบ.. ดูเพิ่ม

สิ่งที่คน จัดฟัน ต้องทำ
สิ่งที่คน จัดฟัน ต้องทำ การไม่ดูแลทำความสะอาดช่องปากและฟันระหว่างจัดฟัน จะทำให้มีการสะสมของคราบจุลินทรีย์ปริมาณมาก ซึ่งเชื้อจุลินทรีย์เหล่านี้จะสร้างสารพิษต่างๆ ออกมาทำลายเนื้อเยื่อเหงือก ทำให้เกิดภาวะเหงือกอักเสบ บวมแดง และมีเลือดออกง่ายเมื่อสัมผัส หรือขณะแปรงฟัน ในบางกรณีคราบจุลินทรีย์ที่สะสมอยู่บนผิวเคลือบฟัน รอบๆ เครื่องมือจัดฟัน ก็จะทำให้เกิดรอยโรค ฟันผุได้ครับ ทั้งนี้เนื่องจากเชื้อแบคทีเรีย.. ดูเพิ่ม

จัดฟันปักหมุด
จัดฟันปักหมุด หมุดจัดฟัน เป็นหมุดเล็กๆ คล้ายสกรู ติดผ่านเหงือกไปที่กระดูก ใช้เวลาไม่มีฟันหลักในปากพอที่จะดึงฟันซี่อื่นๆ หรือต้องเคลื่อนฟันยากๆ หมุดนี้ใช้เฉพาะในการจัดฟันเท่านั้น จัดฟันเสร็จแล้ว จะเอาหมุดออก แล้วเหงือกตรงที่เคยติดหมุดก็จะปิดไปเอง เหงือกไม่เป็นรู ตำแหน่งในการฝังหมุดจัดฟันขึ้นอยู่กับการวางแผนของทันตแพทย์จัดฟัน ว่าต้องการใช้ฟันซี่ใดเป็นหลักยึดและออกแรงไปทิศทางไหน เปรียบเหมือนกับเร.. ดูเพิ่ม




